대상포진 초기증상 10가지
- 카테고리 없음
- 2025. 5. 5. 15:20
대상포진 초기증상 10가지에 대해 알아보겠습니다.
대상포진은 수두를 일으키는 바이러스가 재활성화되면서 발생하는 질환으로, 주로 성인에게 나타납니다. 대상포진은 피부에 발진과 물집이 생기며, 심한 통증을 유발하는 특징이 있습니다. 주로 몸의 한쪽에만 발진이 나타나며, 신경을 따라 퍼집니다. 대상포진은 어릴 때 수두를 앓은 후 몸속에 잠복해 있던 수두 바이러스가 재활성화되면서 발생합니다. 초기 증상을 잘 알고 있으면 빠르게 대처하고 치료를 시작할 수 있습니다. 오늘은 대상포진 초기증상 10가지를 소개하겠습니다.



1. 피부의 통증과 불쾌감
대상포진의 가장 초기 증상은 피부의 통증입니다. 발진이 생기기 전에 피부가 찌릿하거나 타는 듯한 통증을 느낄 수 있습니다. 특히, 피부의 한쪽에 국한되어 통증이 발생하며, 신경을 따라 퍼지는 경향이 있습니다. 이 통증은 피부 발진이 나타나기 며칠 전에 시작될 수 있습니다.
실천 팁:
- 통증이 심할 경우, 진통제나 국소 진통제를 사용하여 통증을 완화할 수 있습니다.
- 피부에 과도한 자극을 피하고, 따뜻한 물수건으로 가볍게 찜질하는 것이 도움이 될 수 있습니다.
2. 피로감



대상포진 초기에는 피로감이 심하게 느껴질 수 있습니다. 신체의 면역 시스템이 활성화되어 바이러스와 싸우기 때문에 체력이 떨어지며, 일상적인 활동에도 쉽게 지치는 증상이 나타날 수 있습니다.
실천 팁:
- 충분한 휴식을 취하고, 무리한 활동을 피하세요.
- 수면을 잘 취하는 것이 회복에 도움을 줄 수 있습니다.
3. 발진 부위의 따끔거림이나 가려움



대상포진 발진이 나타나기 전, 피부가 따끔거리거나 가려운 증상이 발생할 수 있습니다. 피부가 민감해지고, 이때 가벼운 자극에도 통증이 느껴질 수 있습니다.
실천 팁:
- 발진 부위는 자극을 피하고, 긁지 않도록 주의하세요.
- 차가운 물로 세안하거나 가려운 부위에 냉찜질을 해보세요.
4. 두통
두통은 대상포진의 초기 증상 중 하나로, 머리가 아프고, 특히 이마나 뒷목 주변이 아픈 경우가 많습니다. 이는 바이러스가 신경을 자극하면서 발생할 수 있습니다.
실천 팁:
- 진통제나 차가운 찜질을 통해 두통을 완화할 수 있습니다.
- 충분한 수면과 휴식이 두통 완화에 효과적입니다.
5. 발열
발열은 대상포진의 일반적인 증상 중 하나로, 체온이 상승하면서 몸이 뜨겁고 불편한 증상이 나타날 수 있습니다. 이는 바이러스가 체내에 침투하면서 면역 반응을 일으키기 때문입니다.
실천 팁:
- 체온을 자주 체크하고, 발열이 심할 경우 해열제를 사용하세요.
- 수분 섭취를 충분히 하여 탈수를 예방하는 것이 중요합니다.
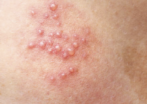
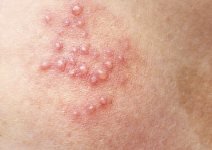
6. 피부 발진 (물집)



물집 발진은 대상포진의 특징적인 증상으로, 통증이 있는 부위에 발진과 물집이 나타나기 시작합니다. 발진은 대개 한쪽 신경 분포를 따라 띠 모양으로 퍼지며, 주로 몸통, 얼굴에 나타납니다. 물집이 터지면서 진물이 흐르거나 딱지가 생깁니다.
실천 팁:
- 물집이 터지지 않도록 주의하고, 청결을 유지하세요.
- 의사의 처방에 따라 항바이러스제를 사용하여 발진의 확산을 방지합니다.
7. 근육통
근육통은 대상포진의 초기 증상으로, 몸의 한쪽에서 근육이 아프고 뻣뻣한 느낌을 받을 수 있습니다. 특히 등, 목, 어깨 등에서 느껴지는 경우가 많습니다.
실천 팁:
- 따뜻한 찜질이나 마사지로 근육통을 완화할 수 있습니다.
- 가벼운 스트레칭을 통해 근육의 긴장을 풀어주세요.
8. 소화불량 및 식욕 부진



대상포진의 초기 증상으로 소화불량과 식욕 부진도 발생할 수 있습니다. 체내 염증 반응이 일어나면서 위장에 부담을 주기 때문에 식사 후 불편한 증상이 나타날 수 있습니다.
실천 팁:
- 소화가 잘 되는 음식을 섭취하고, 자극적인 음식은 피하세요.
- 소량씩 자주 먹는 식사를 하여 위장에 부담을 줄입니다.
9. 약간의 시각 장애 (눈 주변 대상포진)
대상포진이 눈 주변에 발생할 경우, 시각에 영향을 미칠 수 있습니다. 눈이 충혈되거나 흐릿해지며 시야가 불편해지는 증상이 나타날 수 있습니다. 이 경우에는 즉시 전문의의 치료를 받는 것이 중요합니다.
실천 팁:
- 눈 주변에 통증이 있을 경우, 의사의 상담을 받으며 시력 변화가 심각할 경우 즉시 병원을 방문하세요.
- 차가운 찜질을 통해 눈 주변 염증을 완화할 수 있습니다.
10. 피부의 감각 변화 (저림, 찌릿함)
대상포진 초기에는 피부에 감각 변화가 일어날 수 있습니다. 저림, 찌릿함, 따끔거림을 느끼는 증상이 발생하며, 이는 신경에 염증이 생기면서 나타납니다.
실천 팁:
- 진통제나 항염증제를 사용하여 피부 통증과 감각 변화를 완화할 수 있습니다.
- 심한 통증이 지속되면 즉시 병원에 방문해 적절한 치료를 받는 것이 중요합니다.
Q&A
Q: 대상포진은 왜 발생하나요?
A: 대상포진은 수두를 일으키는 바이러스(Varicella-zoster virus)가 잠복해 있다가 면역력이 약해지면 재활성화되면서 발생합니다. 주로 스트레스나 면역력 저하가 원인이 될 수 있습니다.
Q: 대상포진을 예방할 수 있는 방법은 무엇인가요?
A: 대상포진을 예방하기 위해서는 수두 백신을 접종하는 것이 가장 효과적입니다. 또한, 스트레스 관리, 건강한 생활 습관, 면역력 강화가 중요한 예방 방법입니다.